Cette consultation est assurée par l'un des praticiens du CRMR spécialisés dans le diagnostic des affections génétiques orales et dentaires (professeurs A Bloch-Zupan, F Clauss, S Jung, M Strub...).
La consultation commence par un entretien ("anamnèse") afin de connaitre l'histoire médicale et dentaire du patient. Les données médicales notées sur le carnet de santé peuvent être très utiles, en particulier pour rechercher les causes de certaines anomalies orales. Ensuite, le praticien procède à un examen clinique approfondi, tout d'abord général, puis de l'ensemble de la cavité buccale, avec une attention particulière portée sur les anomalies dentaires: de forme, de taille, de structure...le nombre et le type d'agénésies ("quelles dents sont absentes") peuvent orienter le diagnostic vers une mutation de tel ou tel gène.

A titre indicatif, déroulement classique d'un bilan diagnostique clinique:
Ce bilan est suivi par des examens complémentaires:

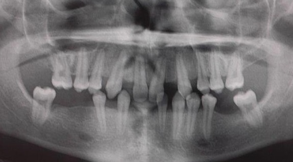
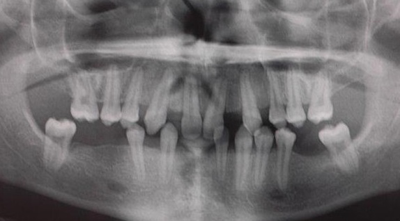
Orthopantomogramme

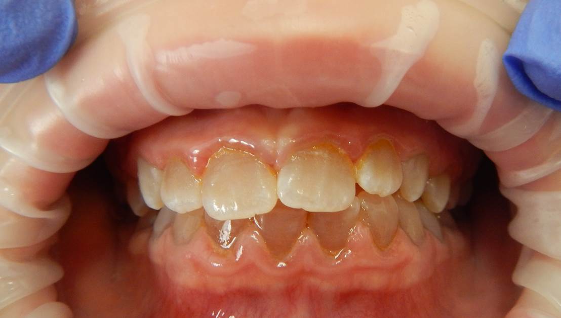
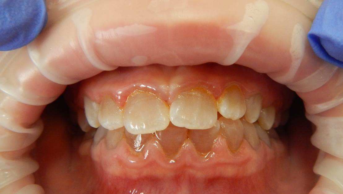
Photographie intrabuccale

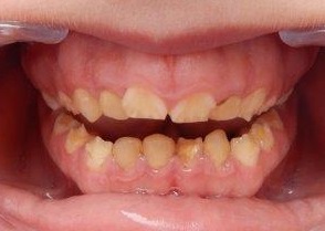
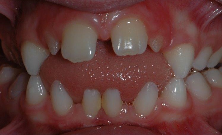
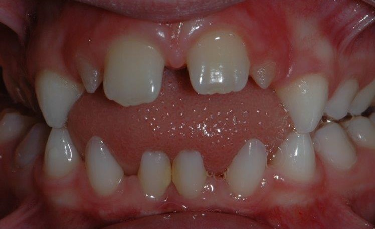
Photographie intrabuccale
Le bilan orthodontique est systématique et peut tout à fait être effectué lors d'une autre visite (examen clinique, bilan fonctionnel, empreintes pour réaliser des moulages d'étude, autres radiographies selon indication...).

Les autres spécialités odontologiques (chirurgie orale, implantologie, prothèse, parodontologie...) et la chirurgie maxillo-faciale peuvent être sollicitées lors d'une autre consultation ou sur dossier afin de concevoir le projet thérapeutique.
Des prescriptions pour demander certains autres examens complémentaires sont possibles, par exemple:
Le patient/les parents sont informés de la possibilité d'enregistrer les données médicales/dentaires dans la base de données du CRMR D4/Phenodent et que certaines de ces données pourront être transférées vers la base de données nationale maladies rares (BNDMR). Après information orale et remise de la fiche d'information, ils sont invités à remplir la fiche de consentement D4/Phenodent.
Ils peuvent aussi, le cas échéant, être invités à participer à un protocole de recherche clinique (cf page recherche du site).
A l'issue du bilan clinique et radiologique, divers examens pourront être prescrits pour aider à identifier la cause de l'anomalie et à prendre en charge le patient. Pour le cas où un bilan génétique est indiqué, voici comment peut se dérouler cette étape:
Le CRMR de Strasbourg a créé cet outil de équençage haut débit pour le diagnostic des affections orales et dentaires rares, en partenariat avec l’UMRS 1112 et le laboratoire de diagnostic génétique des Hôpitaux Universitaires de Strasbourg. GenoDENT a ainsi été transposé de l'environnement recherche vers l'environnement diagnostic pour un résultat inscriptible dans le dossier médical du patient. L'ensemble de ces procédures et protocoles a été rendu possible par les financements obtenus par RARENET INTERREG V. Ces tests ont donc été réalisés gratuitement pour le patient et les résultats transférés vers un médecin généticien. L'analyse des résultats montrent l'utilité de ce test dans la médecine de précision ainsi que les conséquences sur la prise en charge des patients (identification maladies rares syndromiques, modifications des diagnostics, conseils génétiques, orientation des prises en charge thérapeutiques).
Un film réalisé par la filière AnDDI-Rares permet de comprendre le séquençage à haut débit
Lorsqu'une réhabilitation bucco-dentaire est envisagée, le patient/les parents sont informés sur les différentes possibilités de prise en charge financière, tant en secteur libéral qu'en service hospitalier. Les demandes d'ALD hors liste ne seront effectuées que lorsque le plan de traitement sera établi dans ses grandes lignes.
Un compte-rendu de la consultation est adressé aux correspondants médicaux/odontologistes. Une copie vous est également adressée.