Le centre de référence des maladies rares orales et dentaires
Le Centre de Référence est composé d'un site coordonnateur (Strasbourg - Hôpital Civil), de 4 sites constitutifs (Hôpital Rothschild, AP-HP Paris, Hôpital La Timone, AP-HM Marseille, Paris Hôpital Henri Mondor Créteil, CHU de Toulouse) et de 21 centres de compétence (Angoulême, Besançon, Bordeaux, Brest, Clermont-Ferrand, Dijon, Evreux, Lille, Lyon, Montpellier, Nancy, Nantes, Nice, Niort, Paris Pitié-Salpêtrière, Paris Charles Foix, Reims; centres ultra-marins: Fort-de-France, Mamoudzou, Pointe-à-Pitre) qui ont pour vocation d'assurer une prise en charge et le suivi des patients au plus proche de leur domicile. Les coordonnées de tous ces centres se trouvent à la page "Réseau national" de ce site.
Le CRMR O-Rares s'est doté d'un comité de Direction : Pr A Bloch Zupan, Pr Marie Cécile Manière, Pr S Jung, Pr M de la Dure-Molla, Pr Benjamin Fournier, Pr A Berdal, Pr C Tardieu, Pr F Vaysse, Pr B Gogly (représentants des sites coordonnateur et constitutifs), Pr B Thivichon-Prince, Pr S Lopez (représentants des CCMR) et d'un comité de pilotage, qui se réunit lors du symposium annuel du réseau O-Rares. Ils élaborent un plan d'actions.
En Europe, une maladie est dite « rare » lorsqu’elle affecte statistiquement moins d’une personne sur 2000. Plus de 7000 maladies sont déjà connues et 5 nouvelles pathologies sont décrites chaque semaine dans le monde. 80% d’entre elles sont d’origine génétique, touchant ainsi des familles entières. En France, cela représente plus de 3 millions de personnes touchées directement ou indirectement, et plus de 30 millions de personnes en Europe, constituant ainsi un enjeu majeur de santé publique. Ces maladies touchent en majorité les enfants, bien que certaines apparaissent également à l’âge adulte. Un malade sur 3 n’a pas de diagnostic et attend en moyenne 4 ans avant d’avoir un nom sur sa maladie. Le plus souvent, ces maladies rares sont sévères, chroniques, d’évolution progressive et affectent considérablement la qualité de vie des malades. 65 % de ces maladies sont graves et invalidantes.
Le CRMR O-Rares prend en charge des patients porteurs de maladies rares ayant une expression orale et dentaire, le plus souvent d'origine génétique.
La prévalence de ces affections est en général faible, voire inconnue, mais un nombre très important de syndromes sont concernés.
Deux groupes principaux d'affections peuvent ainsi être distingués :
A ces 2 groupes s'ajoutent des syndromes ou maladies rares dont le phénotype oral et dentaire n'a pas encore été décrit.
La cavité buccale accomplit des fonctions indispensables à la vie: carrefour aérodigestif, alimentation, immunité mais aussi communication. Les patients atteints de maladies rares à expression bucco-dentaire nécessitent une prise en charge spécifique car les malformations présentes engendrent le plus souvent un préjudice esthétique et fonctionnel majeur. Peuvent se surajouter aux malformations des pathologies acquises comme la carie, les parodontopathies, et leurs complications infectieuses. Ces pathologies sont souvent liées à certaines difficultés d'accès aux soins. En l'absence de traitement, la déficience bucco-dentaire existante pourra s'aggraver.
Le développement du système dentaire s’étend depuis la sixième semaine du développement embryonnaire jusqu’à l’âge de 20 ans environ et est indissociable du développement craniofacial.
Une grande diversité de gènes peuvent être mutés; dans ce cas, ils sont responsables d'anomalies du développement oral et dentaire qui peuvent être retrouvées dans plus de 950 maladies rares.
Les anomalies dentaires les plus fréquemment prises en charge dans nos centres sont l'oligodontie, l'amélogenèse imparfaite et la dentinogenèse imparfaite.
La prise en charge thérapeutique de ces anomalies, notamment les agénésies dentaires, requière souvent un traitement prothétique, qui peut déjà débuter pendant l'enfance. Une vidéo réalisée par l'ERN Cranio (European Reference Network) explicite la réalisation de ce type de traitement: cliquez ici pour voir la vidéo
Ces anomalies peuvent concerner:
Elles touchent les dents temporaires et/ou les dents permanentes.
Le développement du système dentaire s’étend depuis la sixième semaine du développement embryonnaire jusqu’à l’âge de 20 ans environ et est indissociable du développement craniofacial. L'expression est très variable, résultant d'interactions complexes entre les facteurs causaux, essentiellement génétiques, et les facteurs environnementaux. Une grande diversité de gènes peuvent être mutés; dans ce cas, ils sont responsables d'anomalies du développement oral et dentaire qui peuvent être retrouvées dans plus de 950 maladies rares.
Les maladies rares orales et dentaires requièrent une prise en charge spécialisée pluridisciplinaire.
Exemple d'anomalies de nombre (agénésies), de forme et de taille en denture temporaire
Exemples d'anomalies de structure

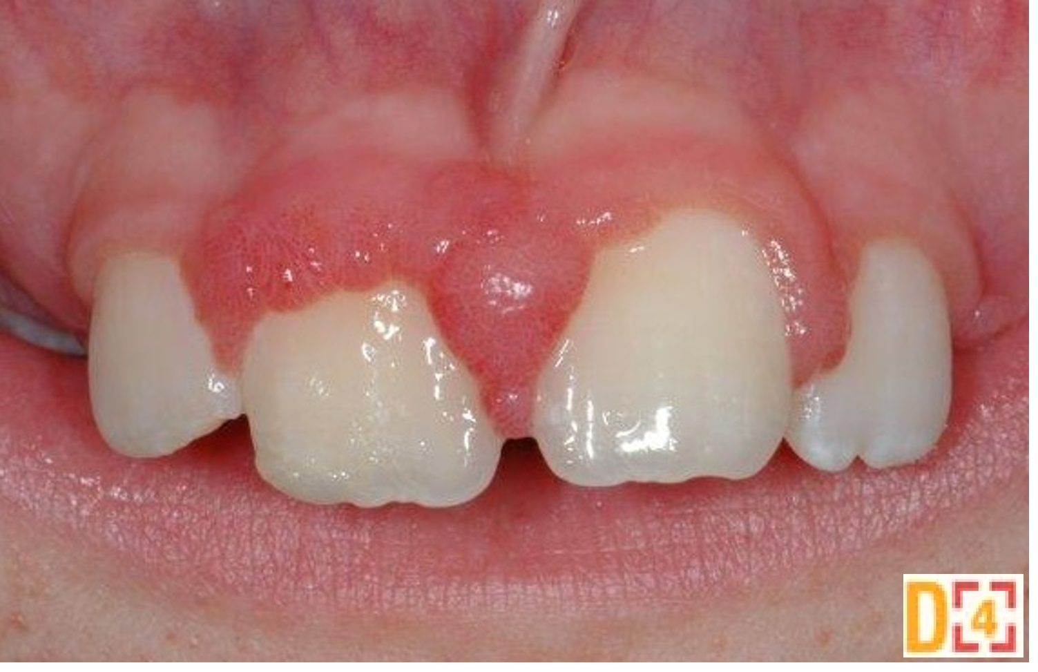
Exemples d'anomalies de la gencive
|
|
Les patients, enfants et adultes, qui présentent une anomalie orale et/ou dentaire, ou encore des patients qui présentent une maladie rare et ont des besoins en soins dentaires spécifiques. |
Les professionnels de santé médicaux et paramédicaux qui souhaitent avoir un avis ou référer un patient ou qui prennent en charge des patients présentant de telles anomalies. |
|
|
|
Les assistants de service social, les établissements de santé ou institutions médico-éducatives, la PMI, des organismes tels que CPAM, CNAMTs sont également en lien avec le CRMR. |
De nombreuses associations de malades sont partenaires et accompagnent les personnes atteintes de maladies rares à expression bucco-dentaire. Leurs objectifs sont d'informer, d'aider et de soutenir les patients et leurs familles dans leurs différentes démarches et de rompre leur isolement. Elles contribuent notamment à la rédaction des Protocoles Nationaux de Diagnostic et de Soins et aux programmes d'Education Thérapeutique du Patient. |
|
Il assure à la fois un rôle d’expertise pour une maladie ou un groupe de maladies rares en ayant développé des compétences spécifiques et reconnues dans ce domaine; et de recours, qui lui permet, du fait de la rareté de la pathologie prise en charge et du faible nombre des équipes spécialistes dans le domaine, d’exercer une attraction (interrégionale, nationale ou internationale) au-delà du bassin de santé de son site d’implantation.
Selon la définition du Ministère des Affaires Sociales et de la Santé dans le cadre du premier plan national maladies rares (PNMR1)
« Assurer l’équité pour l’accès au diagnostic, au traitement et à la prise en charge »
Le Centre de Référence d’une maladie rare ou d’un groupe de maladies rares est un ensemble de compétences pluridisciplinaires hospitalières organisées autour d’équipes médicales hautement spécialisées.
en améliorant l’accès au diagnostic et son annonce ; en définissant, organisant et réévaluant régulièrement la stratégie de prise en charge sanitaire et médico-sociale et le suivi interdisciplinaire dans le cadre d’une filière de santé ; en veillant à l’information et à la formation du malade et de sa famille.
participant à la prise en charge de proximité du malade (acteurs de soins ou sociaux de proximité, centres hospitaliers proches du malade) en les informant et les formant sur la pathologie et sa prise en charge.
à l’animation des recherches et essais thérapeutiques, à la diffusion (indications et prescriptions) et au suivi des thérapeutiques et dispositifs orphelins, ainsi qu’à la mise en place de bonnes pratiques professionnelles concernant la pathologie, en liaison avec les équipes nationales et internationales travaillant dans le même domaine.
en lien avec l’ensemble des centres de compétences répartis sur le territoire national, prenant en charge la même pathologie ou groupe de pathologies.
administratives et des associations de malades pour œuvrer à l’amélioration de la prise en charge et de la qualité de vie du malade et de sa famille.
L'exploitation des données enregistrées dans la base du CRMR D4/phenodent peut orienter vers de nouveaux diagnostics et des traitements plus personnalisés. La recherche concerne le développement des dents et de la cavité buccale, la mise au point et l'étude de modèles animaux reproduisant certaines de nos maladies rares, et la génétique.
Amélioration de l'accès au diagnostic génétique des anomalies dentaires Pour tous les patients: l'outil de séquençage à haut débit GenoDENT a été transposé de l'environnement recherche à l'environnement diagnostique pour un résultat inscriptible au dossier médical du patient (en savoir plus) Développement des RCP régionales et nationales Réunions de Concertation Pluridisciplinaire (RCP) dédiées pour les patients porteurs d'anomalies orales/dentaires. Consultez le calendrier des RCP O-Rares sur la page Actualités Elaboration des PNDS Protocoles de Diagnostic et de Soins : publication sur le site de l'HAS du PNDS Amélogenèses imparfaites et PNDS Agénésies dentaires multiples. Les PNDS Dentinogenèse imparfaite et PNDS Echec primaire d'éruption sont en cours. Participation des membres de l'équipe à plusieurs PNDS coordonnés par d'autres CRMR. Elaboration d'un Calendrier Thérapeutique de l'Oligodontie. Développement de projets collaboratifs au sein du groupe "Orodental anomalies" de l'ERN CRANIO. La recherche dans notre réseau Notre objectif est d'améliorer la connaissance des anomalies oro-dentaires, la qualité des diagnostics, l’accès aux soins et les prises en charge des patients concernés. Consultez les pages recherche de nos centre O-Rares Formation continue Webinar sur les amélogenèses imparfaites, Journées sur la prise en charge multidisciplinaire des patients porteurs de fentes labio-palatines, symposium O-Rares à Bordeaux en Mars 2024, DIU Ethique médicale, DIU Prise en charge des FLP.
Les Filières de Santé Maladies Rares et Maladies Rares Info Services ont lancé une infographie maladies rares destinée aux professionnels de santé, aux patients atteints de maladies rares et aux aidants qui permet de s'informer sur les maladies rares, leur prise en charge, le quotidien ou encore les structures d'aide.